Najnovija studija otkrila: „Pandemija“ ubrzala starenje mozga za pola godine – čak i kod onih koji nisu „pali“ na manipulacije

„Pandemija kovida-19“ promenila je naše živote – i svet – na mnogo načina. Sada, naučnici počinju da razumeju i šire neurološke posledice tog perioda.

Nova istraživanja sugerišu da je mozak prosečne osobe počeo da stari ubrzano već u ranoj fazi „pandemije“ – čak i kod onih koji se nikada nisu „zarazili virusom“, niti primili „vakcinu“.

Vreme je za istinu! Ovo su hteli da sakriju od vas | Mario Zna | EP. 344

Studija sprovedena na Univerzitetu u Notingemu, koju je predvodio Ali-Reza Mohamadi-Nežad, pokazala je da su mozgovi učesnika „ostarili“ u proseku za 5,5 meseci, i to nezavisno od bilo kakvih infekcije. Uzrok bi mogao da bude hronični stres, osećaj usamljenosti, izolacija tokom karantina, ali i promene u načinu života – poput smanjenog kretanja ili povećane konzumacije alkohola.

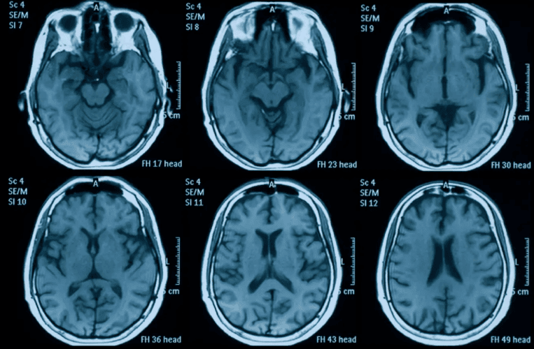
Istraživači su koristili veštačku inteligenciju obučenu na preko 15.000 moždanih skenova, kako bi uočili strukturne promene koje dolaze sa starenjem. Zatim su analizirali dve grupe: kontrolnu grupu sa skenovima pre marta 2020, i eksperimentalnu grupu koja je imala jedan snimak pre, a drugi nakon početka „pandemije“.

Promene u sivoj i beloj masi mozga bile su prisutne i kod osoba koje nikada nisu imale bilo kakvih zdravstvenih problema, što sugeriše da je sama „pandemija“, kao društveni i psihološki fenomen, ostavila meren neurološki trag.

Efekti ubrzanog starenja bili su izraženiji kod muškaraca i osoba nižeg socioekonomskog statusa. Ipak, učesnici Biobank studije su generalno zdraviji i bogatiji od proseka, pa bi efekti u ranjivijim grupama mogli biti još veći.

Autori rada napominju da bi ove promene u mozgu mogle biti barem delimično reverzibilne, ali upozoravaju da su rezultati ograničeni na britansku populaciju i možda ne oslikavaju posledice u drugim delovima sveta.

“Naši rezultati bi mogli zapravo da potcene stvarni uticaj pandemije na najranjivije grupe”, zaključuje Mohamadi-Nežad.

Nulta Tačka

Ne propustite

Hapšenja posle iranskog napada: Dubai privodi strance koji su poslali fotografije eksplozije

Hapšenja posle iranskog napada: Dubai privodi strance koji su poslali fotografije eksplozije

Tri strana državljanina koji su preživeli napad iranskog drona na
PREMIJER GRENLANDA poručio stanovnicima ostrva: "Spremite se za INVAZIJU"

PREMIJER GRENLANDA poručio stanovnicima ostrva: „Spremite se za INVAZIJU“

Grenlandski premijer Jens‑Frederik Nilsen izjavio je danas da vlasti ne